首页
技术精华
病理资讯
同行交流
技术会诊
点滴经验
常规切片
特殊染色
免疫组化
分子病理
细胞园地
细胞制片
电镜技术
病理图库
病理技术论坛登录
用户名:
密 码:
论坛最新贴子
一文读懂冰冻切片机单压缩机和双压缩机的区别与优势
每年能为你省下5万耗材费的全封闭脱水机,你见过没?
讨论:一张刀片大家大约切多少个蜡块?
网状纤维的探讨
泰维科技专利性全封闭脱水机
国产泰维科技,全流程病理设备值得关注
泰维ASP348全封闭自动脱水机
快速脱水机
泰维TR-180系列全自动染色机,病理染色的智能好搭档
HE切片封片后某些区域掉色
WW
关于我们
本站自1998年成立以来首次改版,从病理技术方面做全做深,新增了病理技术理论知识、病理资讯、病理图库及技术精英等功能。我们的宗旨是传播一种积极的思想,提供一些理论和实践的知识,为朋友们解决一点实际的问题,想您所想的,关心您关心的,希望病理技术网能成为全国病理工作者学习和交流的场所。
病理图库
TBS-51.HSIL CIN3
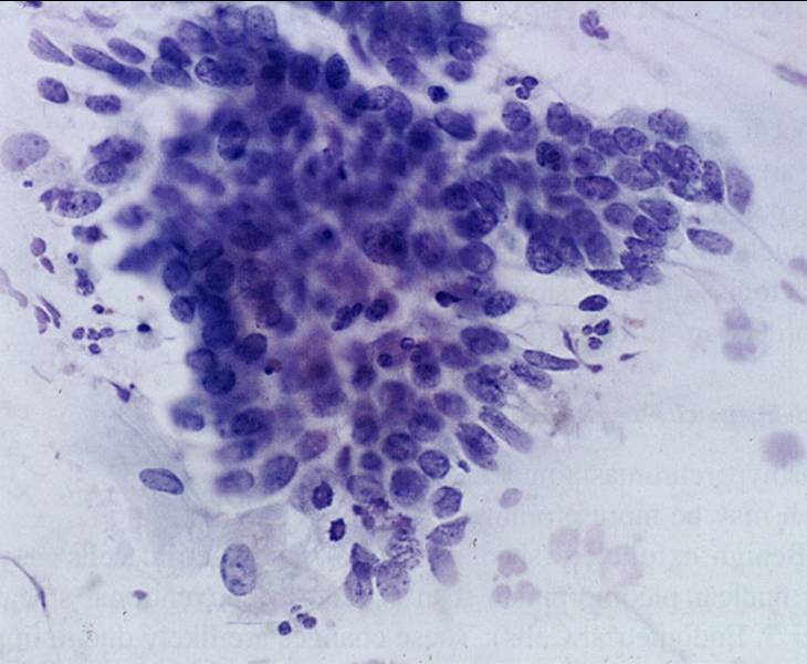
TBS-52.HSIL CIN3
TBS-53.HSIL CIN3
TBS-54.HSIL CIN3
TBS-55.ASC-H:不能排除高度鳞状上皮病变的不典型鳞状细胞
TBS-55.HSIL
TBS-56.HSIL
TBS-57.HSIL
TBS-58.HSIL
TBS-59.HSIL
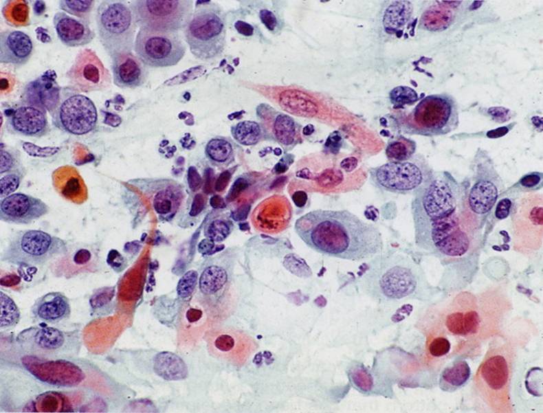
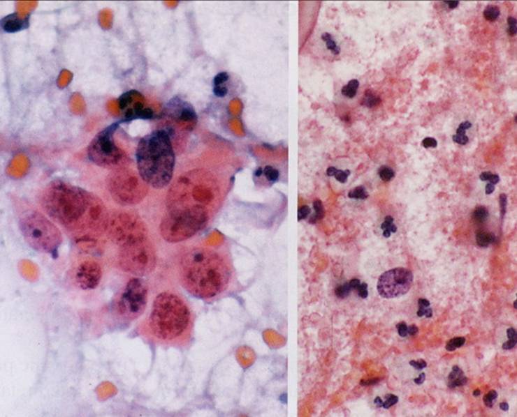
TBS-60.原位癌
TBS-61.原位癌
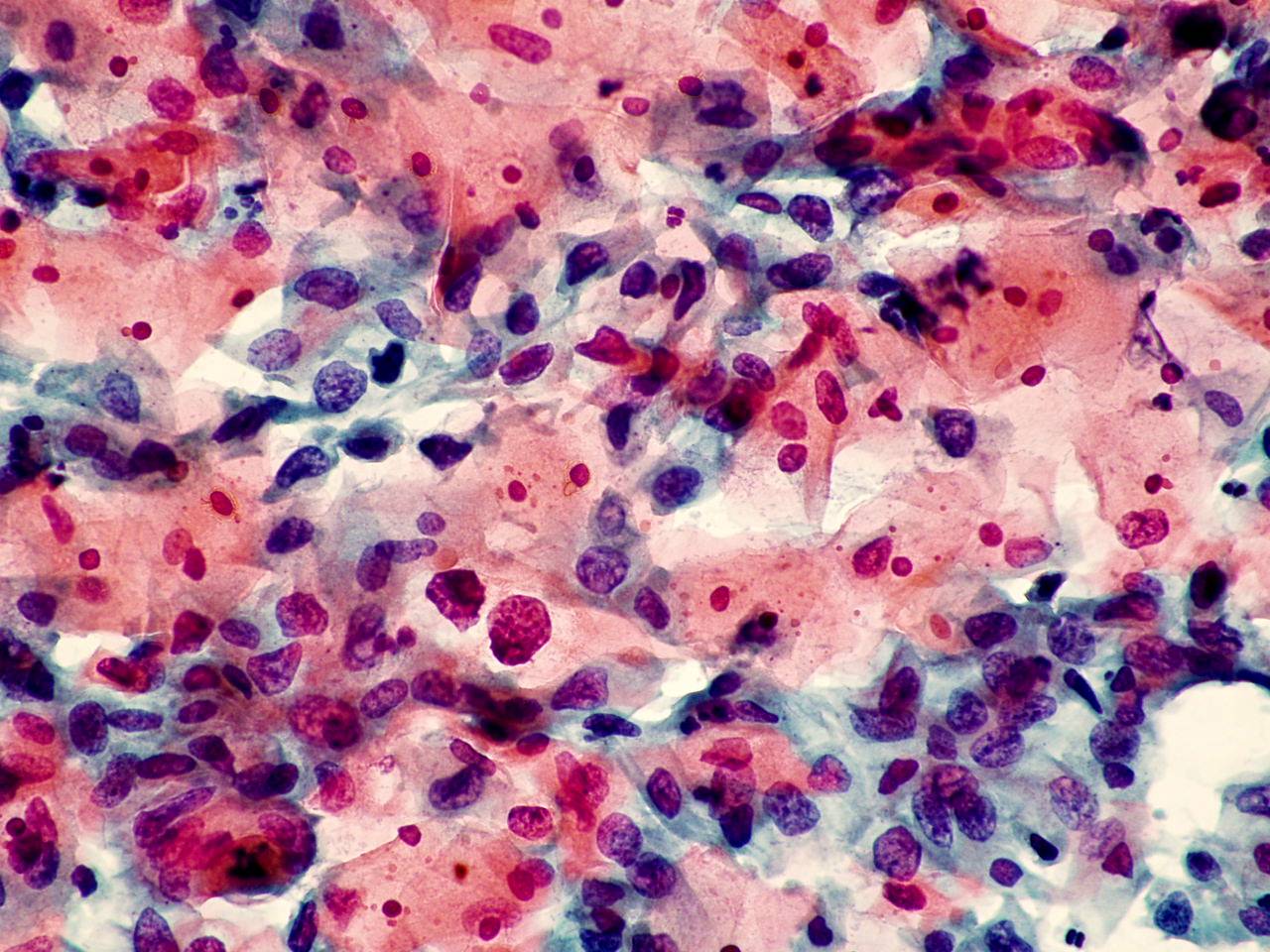
TBS-62.鳞癌
TBS-63.鳞癌
TBS-64.鳞癌
TBS-65.鳞癌
TBS-66.鳞癌
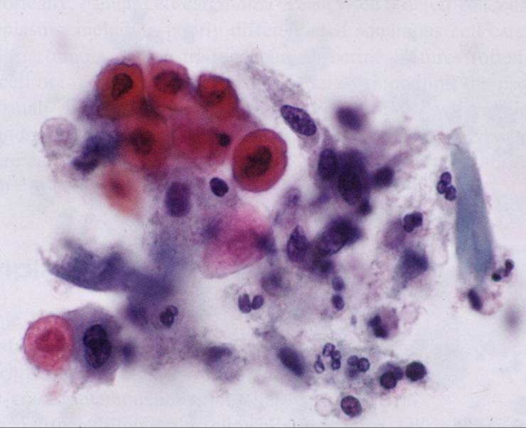
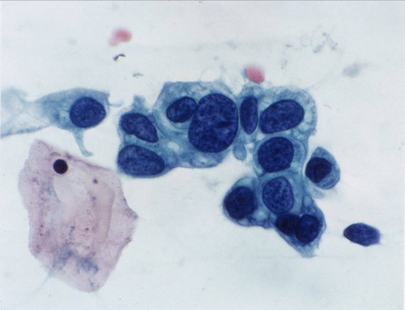
TBS-67.不典型的颈管内膜细胞
TBS-68.不典型的颈管内膜细胞
TBS-69.不典型的颈管内膜细胞
页次:6/8 共 145 个
首页
<
1
2
3
4
5
6
7
8
>
末页
© Copyright 1998-2021
www.zhbljs.com
,All Rights Reserved.
病理技术:
DingWei
(QQ:891232) 广告联系:
Mysnopy
(QQ:618543)
技术支持:
12900.COM